Also found in: Dictionary, Thesaurus, Medical, Financial, Acronyms.
![]()
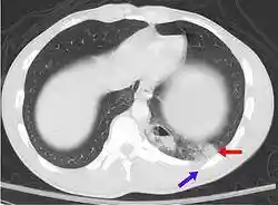
Pulmonary contusion due to trauma is an example of a condition that can be asymptomatic with half of people showing no signs at the initial presentation. The CT scan shows a pulmonary contusion (red arrow) accompanied by a rib fracture (purple arrow).
In medicine, a disease is considered asymptomatic if a patient is a carrier for a disease or infection but experiences no symptoms. A medical condition might be asymptomatic if it fails to show the noticeable symptoms with which it is usually associated.
Asymptomatic infections are also called subclinical infections. Other diseases (such as mental illnesses) might be considered subclinical if they present some but not all of the symptoms required for a clinical diagnosis. The term clinically silent is also used. When the disease produces only a few, mild symptoms, the disease is paucisymptomatic. If symptoms appear later, such as after an asymptomatic incubation period, then the time before the symptoms appear is the pre-symptomatic period.
Knowing that a condition is asymptomatic is important because:
- It may develop symptoms later and only then require treatment.
- It may resolve itself or become benign.
- It may be contagious.
- It is not required that a person undergo treatment. It does not cause later medical problems such as high blood pressure and hyperlipidaemia.[1]
- Be alert to possible problems: asymptomatic hypothyroidism makes a person vulnerable to Wernicke–Korsakoff syndrome or beri-beri following intravenous glucose.[2]
Examples
An example of an asymptomatic disease is Cytomegalovirus (CMV) which is a member of the herpes virus family. "It is estimated that 1% of all newborns are infected with CMV, but the majority of infections are asymptomatic." (Knox, 1983; Kumar et al. 1984)[3] In some diseases, the proportion of asymptomatic cases can be important. For example, in multiple sclerosis it is estimated that around 25% of the cases are asymptomatic, with these cases detected postmortem or just by coincidence (as incidental findings) while treating other diseases.[4]
Conditions
Asymptomatic conditions may not be discovered until the patient undergoes medical tests (X-rays or other investigations). Some people may remain asymptomatic for a remarkably long period of time, such as people with some forms of cancer. If a patient is asymptomatic, precautionary steps are ineffective and should not be taken. The patient should continue to seek treatment for the main disease they are suffering from currently.
A patient's individual genetic makeup may delay or prevent the onset of symptoms.
Some diseases are defined only clinically, like AIDS being the result of HIV infection. Therefore, it makes no sense to speak about "asymptomatic AIDS". This concept of clinically defined diseases is related in some way to the concept of syndrome.
List
These are conditions for which there is a sufficient number of documented individuals that are asymptomatic that it is clinically noted. For a complete list of asymptomatic infections see subclinical infection.
- Balanitis xerotica obliterans
- Benign lymphoepithelial lesion
- Cardiac shunt
- Carotid artery dissection
- Carotid bruit
- Cavernous hemangioma
- Chloromas (Myeloid sarcoma)
- Cholera
- Chronic myelogenous leukemia
- Coeliac disease
- Coronary artery disease
- COVID-19 (in the majority of cases)
- Cowpox
- Diabetic retinopathy
- Essential fructosuria
- Flu or Influenza strains
- Folliculosebaceous cystic hamartoma
- Glioblastoma multiforme (occasionally)
- Glucocorticoid remediable aldosteronism
- Glucose-6-phosphate dehydrogenase deficiency
- Hepatitis
- Hereditary elliptocytosis
- Herpes
- Heterophoria
- Human coronaviruses (common cold germs)
- Hypertension (high blood pressure)
- Histidinemia
- HIV (AIDS)
- HPV
- Hyperaldosteronism
- hyperlipidaemia
- Hyperprolinemia type I
- Hypothyroidism
- Hypoxia (some cases)
- Idiopathic thrombocytopenic purpura
- Iridodialysis (when small)
- Lesch–Nyhan syndrome (female carriers)
- Levo-Transposition of the great arteries
- Measles
- Meckel's diverticulum
- Microvenular hemangioma
- Mitral valve prolapse
- Monkeypox
- Monoclonal B-cell lymphocytosis
- Myelolipoma
- Optic disc pit
- Osteoporosis
- Pertussis (whooping cough)
- Pes cavus
- Poliomyelitis
- Polyorchidism
- Pre-eclampsia
- Prehypertension
- Protrusio acetabuli
- Pulmonary contusion
- Renal tubular acidosis
- Rubella
- Smallpox (extinct since the 1970s)
- Spermatocele
- Sphenoid wing meningioma
- Spider angioma
- Splenic infarction (though not typically)
- Subarachnoid hemorrhage
- Tonsillolith
- Tuberculosis
- Type II diabetes
- Typhus
- Vaginal intraepithelial neoplasia
- Varicella (chickenpox)
- Wilson's disease
Millions of women reported lack of symptoms during pregnancy until the point of childbirth or the beginning of labor; they didn't know they were pregnant. This phenomenon is known as cryptic pregnancies. [5]
See also
References
- ^ Tattersall, R (2001). "Diseases the doctor (or autoanalyser) says you have got". Clinical Medicine. London. 1 (3): 230–3. doi:10.7861/clinmedicine.1-3-230. PMC 4951914. PMID 11446622.
- ^ Watson, A. J.; Walker, J. F.; Tomkin, G. H.; Finn, M. M.; Keogh, J. A. (1981). "Acute Wernickes encephalopathy precipitated by glucose loading". Irish Journal of Medical Science. 150 (10): 301–303. doi:10.1007/BF02938260. PMID 7319764.
- ^ Vinson, B. (2012). Language Disorders Across the Lifespan. p. 94. Clifton Park, NY: Delmar
- ^ Engell T (May 1989). "A clinical patho-anatomical study of clinically silent multiple sclerosis". Acta Neurol Scand. 79 (5): 428–30. doi:10.1111/j.1600-0404.1989.tb03811.x. PMID 2741673.
- ^ https://www.news-medical.net/health/What-is-a-Cryptic-Pregnancy.aspx#:~:text=Cryptic%20pregnancy%20is%20the%20phenomenon,cases%20until%20they%20give%20birth.
This article is copied from an article on Wikipedia® - the free encyclopedia created and edited by its online user community. The text was not checked or edited by anyone on our staff. Although the vast majority of Wikipedia® encyclopedia articles provide accurate and timely information, please do not assume the accuracy of any particular article. This article is distributed under the terms of GNU Free Documentation License.