GPU-accelerated stain tools for histopathological images. Compatible with PyTorch, TensorFlow, and Numpy.
Normalization algorithms currently implemented:
- Macenko [1] (ported from numpy implementation)
- Reinhard [2]
- Modified Reinhard [3]
- Multi-target Macenko [4]
Augmentation algorithms currently implemented:
- Macenko-Aug [1] (inspired by StainTools)
Installation
To install a specific backend use either torchstain[torch] or torchstain[tf]. The numpy backend is included by default in both.
Example Usage
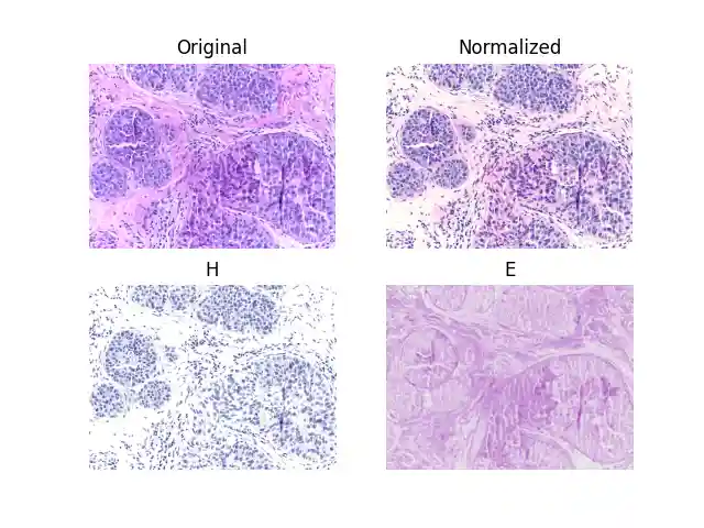
import torch from torchvision import transforms import torchstain import cv2 target = cv2.cvtColor(cv2.imread("./data/target.png"), cv2.COLOR_BGR2RGB) to_transform = cv2.cvtColor(cv2.imread("./data/source.png"), cv2.COLOR_BGR2RGB) T = transforms.Compose([ transforms.ToTensor(), transforms.Lambda(lambda x: x*255) ]) normalizer = torchstain.normalizers.MacenkoNormalizer(backend='torch') normalizer.fit(T(target)) t_to_transform = T(to_transform) norm, H, E = normalizer.normalize(I=t_to_transform, stains=True)
Implemented algorithms
| Algorithm | numpy | torch | tensorflow |
|---|---|---|---|
| Macenko | ✓ | ✓ | ✓ |
| Reinhard | ✓ | ✓ | ✓ |
| Modified Reinhard | ✓ | ✓ | ✓ |
| Multi-target Macenko | ✓ | ✓ | ✓ |
| Macenko-Aug | ✓ | ✓ | ✓ |
Backend comparison
Runtimes using the Macenko algorithm using different backends. Metrics were calculated from 10 repeated runs for each quadratic image size on an Intel(R) Core(TM) i5-8365U CPU @ 1.60GHz.
| size | numpy avg. time | torch avg. time | tf avg. time |
|---|---|---|---|
| 224 | 0.0182s ± 0.0016 | 0.0180s ± 0.0390 | 0.0048s ± 0.0002 |
| 448 | 0.0880s ± 0.0224 | 0.0283s ± 0.0172 | 0.0210s ± 0.0025 |
| 672 | 0.1810s ± 0.0139 | 0.0463s ± 0.0301 | 0.0354s ± 0.0018 |
| 896 | 0.3013s ± 0.0377 | 0.0820s ± 0.0329 | 0.0713s ± 0.0008 |
| 1120 | 0.4694s ± 0.0350 | 0.1321s ± 0.0237 | 0.1036s ± 0.0042 |
| 1344 | 0.6640s ± 0.0553 | 0.1665s ± 0.0026 | 0.1663s ± 0.0021 |
| 1568 | 1.1935s ± 0.0739 | 0.2590s ± 0.0088 | 0.2531s ± 0.0031 |
| 1792 | 1.4523s ± 0.0207 | 0.3402s ± 0.0114 | 0.3080s ± 0.0188 |
Reference
- [1] Macenko, Marc et al. "A method for normalizing histology slides for quantitative analysis." 2009 IEEE International Symposium on Biomedical Imaging: From Nano to Macro. IEEE, 2009.
- [2] Reinhard, Erik et al. "Color transfer between images." IEEE Computer Graphics and Applications. IEEE, 2001.
- [3] Roy, Santanu et al. "Modified Reinhard Algorithm for Color Normalization of Colorectal Cancer Histopathology Images". 2021 29th European Signal Processing Conference (EUSIPCO), IEEE, 2021.
- [4] Ivanov, Desislav et al. "Multi-target stain normalization for histology slides". 2nd International Workshop on Medical Optical Imaging and Virtual Microscopy Image Analysis (MOVI 2024), MICCAI. 2024.
Citing
If you find this software useful for your research, please cite it as:
@software{barbano2022torchstain, author = {Carlo Alberto Barbano and André Pedersen}, title = {EIDOSLAB/torchstain: v1.2.0-stable}, month = aug, year = 2022, publisher = {Zenodo}, version = {v1.2.0-stable}, doi = {10.5281/zenodo.6979540}, url = {https://doi.org/10.5281/zenodo.6979540} }
Torchstain was originally developed within the UNITOPATHO data collection, which you can cite as:
@inproceedings{barbano2021unitopatho, title={UniToPatho, a labeled histopathological dataset for colorectal polyps classification and adenoma dysplasia grading}, author={Barbano, Carlo Alberto and Perlo, Daniele and Tartaglione, Enzo and Fiandrotti, Attilio and Bertero, Luca and Cassoni, Paola and Grangetto, Marco}, booktitle={2021 IEEE International Conference on Image Processing (ICIP)}, pages={76--80}, year={2021}, organization={IEEE} }
